|
스피큘 진피를 손상시키는 주범?
후난선샤인뷰티에서 과학적근거로 그 해답을 드립니다.
날짜:2026-01-26 화장품 효능 원료 개발 분야에서 성분의 침투 깊이는 제품 유효성뿐만 아니라 사용 안전성과도 밀접하게 연관됩니다. 미세 바늘 기술은 효율적인 침투 촉진 수단으로서, 그 핵심 과제는 활성 성분의 효과적인 경피 전달을 실현하면서도 피부 깊은 조직의 손상을 피하는 데 있습니다. 대중이 보편적으로 우려하는 "미세 바늘이 진피층을 손상시킬까?"라는 문제에 대해, 선샤인
바이오텍은 항상 안전을 연구 개발의 핵심에 두고, 과학적 실증을 기반으로 엄격한 실험을 통해 제품 안전성을 반복적으로 검증해 왔습니다. 실험 결과에 따르면, 선샤인바이오텍의 99% 특급 Hydrolyzed Sponge(Sponge Spicule)의 실측 침투 깊이는 100–300μm의 최적 안전 범위 내에 있습니다. 이는 각질층 장벽을 효과적으로 돌파하여 활성 성분이 진피층에 직접 도달할 수 있는 침투 경로를 구축하면서도, 진피 천층의 혈관 분포 영역에 닿지 않도록 보장하여 진정으로 "안전을 기반으로 효율적인 침투 촉진"을 실현했습니다.

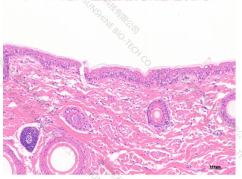
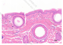
실험 설계 및 방법 선샤인바이오텍의 경피 안전 경계를 체계적으로 평가하기 위해, 본 연구는 회사 자체 구축 실험 시스템을 기반으로 두 가지 핵심 안전 지표를 중심으로 검증을 진행했습니다: 한편으로는 미세 바늘이 각질층을 효과적으로 침투하도록(목표 깊이 ≥50μm) 하였고, 다른 한편으로는 지나치게 깊게 찌르는 것(>500μm)을 엄격히 피하여 진피층 혈관에 닿아 발생할 수 있는 통증, 출혈 또는 감염 위험을 완전히 피했습니다. 실험은 인체 각질층 두께와 유사한 Panama 향신료 돼지의 복부 피부를 체외 모델로 사용했습니다. 피부는 전문적인 전처리를 거쳐 수분 함량이 인체 표피의 실제 상태를 모방하도록 하였습니다. 이후 정밀 측력계를 사용하여 인체 실제 사용 시의 압력을 모방하여, 선샤인바이오텍의
99% 특급 Sponge Spicule을 피부 표면에 수직으로 압력 가했습니다. 일정 시간 유지 후 샘플을 채취하여 동결 절편을 제작하고 HE 염색을 거쳐, 현미경 하에서 직접 바늘 끝 흔적의 수직 길이를 관찰하고 정밀 측정하여 실제 침투 깊이로 삼았습니다. 각 실험군은 독립적으로 5회 반복 수행되었으며, 통계 데이터는 "평균값±표준편차" 형태로 제시하고 이상값을 제거하여 결론의 신뢰성과 재현성을 보장했습니다. 실험 결과 및 결론 실험 데이터는 선샤인바이오텍의 실제 침투 깊이가 162–235μm 사이에서 안정적으로 유지되며, 관측된 최장 값은 213±18μm로, 양호한 배치 반복성과 침투 일관성을 보여줍니다. 해당 미세 바늘 샘플의 평균 물리적 길이는 250μm이며, 실제 침투 깊이는 물리적 길이보다 평균 약 14.8% 낮습니다. 이 깊이 범위(100–300μm)는 피부 해부학 이론과 업계 안전 합의를 종합한 것으로, 공인된 안전하고 효과적인 침투 범위에 속합니다: 그 상한선(300μm)은 진피 천층 주요 혈관 분포 시작 영역(약 300–500μm)보다 훨씬 낮으며, 하한선은 인체 각질층 장벽(두께 10–40μm)을 충분히 돌파하여 활성 성분의 운반 미세 통로를 확실하게 구축할 수 있습니다. 결론적으로, 썬샤인바이오텍사사는
활성 성분이 기저층에 도달하여 효능을 발휘하도록 효과적으로 도움을 주면서도, 근본적으로 진피 천층 혈관에 닿을 위험을 피하여 효능 요구와 사용 안전을 완벽하게 균형 잡았으며, 안전하고 신뢰할 수 있는 경피 침투 촉진 솔루션입니다. 

안전을 최우선으로 하는 신념 Hydrolyzed Sponge 전문 제조업체로서, 선샤인
바이오텍은 창립초기부터 "안전한 원료 효과적인 효능"을 확고한 핵심 원칙으로 고집해왔습니다. 저희는 과학으로 우려에 응답하고, 데이터로 약속을 뒷받침할 것을 고수합니다. 파트너와 사용자에게 엄숙히 약속합니다: 항상 피부 건강과 제품 안전을 연구 개발 결정의 최우선에 두며, 저희가 제공하는 모든 스피큘 제품은 엄격한 검증을 거쳐 안전하고, 통제 가능하며, 신뢰할 수 있도록 보장할 것입니다. 미래를 전망하며, 우리는 실증에 기반한 연구 개발 정신을 계속 지켜 나가며, Hydrolyzed Sponge Spicule 분야에서 지속적으로 정진하여 전 세계 파트너에게 더욱 탁월한 효능과 안전성을 검증할 수 있는 미세 바늘 원료 솔루션을 제공하기 위해 노력할 것입니다. 선샤인
바이오텍 스피큘은 과학과 안전의
양 날개를 바탕으로 하여, 모든 기술적 돌파가 업계의 신뢰할 수 있는 선택이 되도록 추진하며, 효능과 안전이 진정으로 시너지를 내어 아름다운 산업에 지속적인 신뢰를 불어넣을 것입니다. 추천 뉴스

함께 꿈꾸며 새해를 맞이하고, 한마음으로 새로운 장을 열어가다 – 선샤인바이오텍 연회의 생생한 기록 <<<Back
|